Niềng răng mặt trong hay còn được gọi là niềng răng mắc cài mặt trong, niềng răng mặt lưỡi. Cũng tương tự như các phương pháp chỉnh nha khác, niềng răng mặt trong cũng sử dụng bộ khí cụ bao gồm dây cung và mắc cài để siết và nắn chỉnh lại các tình trạng răng bị khiếm khuyết về đúng vị trí mong muốn.
Niềng răng mắc cài mặt lưỡi
Niềng răng mắc cài mặt trong là gì?
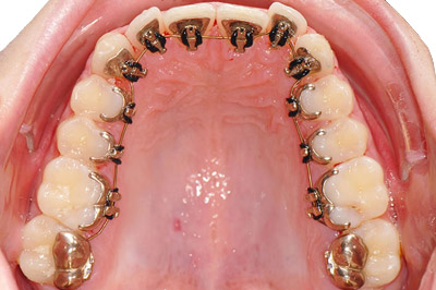
Niềng răng mặt lưỡi là một phương pháp điều trị chỉnh nha giúp cải thiện tình trạng lệch lạc răng, sai khớp cắn,… với mắc cài kim loại được gắn hoàn toàn vào mặt trong của răng thay vì mặt ngoài như các phương pháp niềng răng mắc cài khác. Niềng răng mặt lưỡi được áp dụng ở mặt trong của răng khiến các khí cụ hầu như vô hình khi bạn cười, và người đối diện hầu như không thể nhận ra bạn đang niềng răng. Chính vì vậy, niềng răng mắc cài mặt lưỡi còn được gọi là niềng răng “vô hình”.
Chính vì mắc cài được gắn ở mặt trong của răng nên phương pháp chỉnh nha này cần thực hiện bởi bác sĩ có trình độ chuyên môn cao, tay nghề vững. Đồng thời, phòng khám nha khoa cung cấp dịch vụ niềng răng phải có đầy đủ hệ thống máy móc, trang thiết bị y tế hiện đại để sẵn sàng thực hiện.
Phương pháp niềng răng mặt trong ra đời nhằm mục đích mang lại hiệu quả cao kết hợp với tính thẩm mỹ cho người niềng trong suốt quá trình điều trị. Đây là một trong những phương pháp chỉnh nha được nhiều người lựa chọn và đánh giá cao.
Bạn có dễ dàng nhận ra rằng anh ấy đang đeo mắc cài???
Ưu và nhược điểm của phương pháp niềng răng mặt trong:
Tương tự như phương pháp niềng răng cổ điển, niềng răng mặt trong cũng tồn tại cả hai mặt ưu và nhược điểm. Cụ thể hơn:
- Ưu điểm
Đảm bảo yếu tố thẩm mỹ: Vì mắc cài được đặt bên trong mặt răng nên khi cười và giao tiếp, người đối diện sẽ khó phát hiện ra hoặc khó nhận biết bạn đang niềng răng. Việc can thiệp và cải thiện khiếm khuyết về răng này được nhiều người có công việc thường xuyên tiếp xúc với khách hàng lựa chọn.
Hiệu quả cao: Lực siết từ bộ khí cụ sẽ giúp răng dịch chuyển về đúng vị trí trên cung hàm, đồng trời đảm bảo khớp cắn và hiệu quả cho những trường hợp phức tạp.
Bệnh nhân niềng răng mặt lưỡi, nếu chỉ nhìn từ phía trước sẽ rất khó phát hiện mắc cài gắn trên răng
- Nhược điểm
Vệ sinh khó khăn: Có thể sẽ gặp khó khăn trong việc vệ sinh răng miệng bởi vì mắc cài được lắp ở mặt lưỡi. Chính vì vậy, thời gian vệ sinh răng sẽ mất nhiều thời gian hơn.
Chi phí cao: So với phương pháp niềng răng mắc cài kim loại thông thường thì bảng giá niềng răng mặt trong tương đối cao. Bạn sẽ cần trả nhiều tiền hơn nếu mức độ lệch lạc của răng phức tạp.
Cần kỹ thuật chuyên môn cao: Vì mắc cài đặt phía bên trong của răng nên cần bác sĩ có chuyên môn cao, nhiều năm kinh nghiệm thực hiện. Đồng thời, có kế hoạch điều trị phù hợp cho từng trường hợp, kiểm soát tốt lực kéo để chỉnh răng về đúng vị trí như đã tính toán từ trước.
Gây khó chịu, vướng víu: Sẽ không quen ở những thời gian đầu đeo niềng răng mặt trong. Nhất là khi nhai hoặc giao tiếp, phần lưỡi vô tình va chạm vào mắc cài khiến bạn khó chịu. Một số trường hợp còn gây ra tổn thương hoặc đau nhức. Giải pháp khắc phục là sử dụng sáp nha khoa bôi vào những chỗ hay va chạm.
Hãy cân nhắc mọi yếu tố về nhu cầu thẩm mỹ, khả năng hợp tác và chi phí để lựa chọn phương pháp chỉnh nha phù hợp với bạn. Nếu bạn cần một vẻ ngoài chỉn chu, thoải mái về kinh tế, không gặp vấn đề với việc vệ sinh răng miệng trong chỉnh nha, niềng răng mặt lưỡi chính là phương pháp tuyệt vời dành cho bạn. Neosmile luôn sẵn sàng đồng hành mỗi bệnh nhân trong hành trình niềng răng với mục tiêu mỗi bệnh nhân chỉnh nha tại phòng khám luôn tự tin mỉm cười sau quá trình điều trị.


