Bộ răng sữa của gồm 20 chiếc răng sữa, bắt đầu lúc trẻ khoảng 6 tháng tuổi và hoàn thiện khi trẻ được 2 đến 3 tuổi. Bộ răng sữa thực hiện các chức năng: ăn nhai, thẩm mỹ, kích thích sự phát triển của xương hàm, giữ chỗ và hướng dẫn răng vĩnh viễn mọc,… trong suốt những năm đầu đời của trẻ. Sau đó, đến khoảng 6 tuổi, những chiếc răng sữa bắt đầu được thay thế bởi răng vĩnh viễn và đến khoảng 11-12 tuổi bộ răng vĩnh viễn sẽ thay thế hoàn toàn bộ răng vĩnh viễn của trẻ. Để biết rõ hơn về trình tự mọc răng sữa và thay răng ở trẻ, Neosmile xin gửi đến cha mẹ bài viết cụ thể về các trình tự này.
Bộ răng sữa gồm 20 răng ở trẻ
Trình tự mọc răng sữa ở trẻ em
Mầm răng sữa bắt đầu hình thành từ rất sớm, vào khoảng tuần thứ 8 của thai kỳ, sự khoáng hóa các răng sữa bắt đầu từ khoảng tháng thứ 5, thứ 6 của thai kỳ.
Sau khi trẻ sinh ra, vào khoảng tháng thứ 6, chiếc răng đầu tiên của bộ răng sữa mọc, đó là răng cửa sữa hàm dưới. Tiếp sau đó, răng cửa sữa hàm trên mọc lên. Khoảng tháng 7-9, các răng cửa bên mọc lên và vào khoảng 1 tuổi, các răng cửa chạm khớp với nhau. Răng hàm sữa thứ nhất hàm dưới mọc khi trẻ 12 tháng tuổi, sau đó 2 tháng răng hàm sữa thứ nhất hàm trên mọc lên. Vào tháng 20-24, các răng hàm sữa thứ hai hàm dưới và hàm trên lần lượt mọc lên. Trong quá trình mọc răng, lợi (nướu) của trẻ có thể đau và khó chịu. Cha mẹ có thể xoa dịu bằng cách nhẹ nhàng lau lợi bằng khăn ướt lạnh, bằng mặt sau của chiếc thìa lạnh hoặc bằng ngón tay sạch.
Trẻ bắt đầu mọc những răng cửa sữa đầu tiên
Khi trẻ 2,5 tuổi, các răng hàm sữa đã mọc đầy đủ và có đủ chức năng.
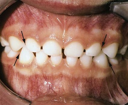
Ở giai đoạn này, thường có sự tồn tại của các khe hở tự nhiên làm thưa răng, đó là các khe hở nguyên thủy (khe hở linh trưởng), xuất hiện ngay khi răng mới mọc.
Hàm trên: nằm giữa răng cửa bên và răng nanh
Hàm dưới: nằm giữa răng nanh và răng cối sữa thứ nhất
Tuy nhiên, một số trường hợp không có các khe này.
Các khe hở nguyên thuỷ ở bộ răng sữa
Trình tự thay răng sữa ở trẻ em
Khoảng 6 tuổi, răng hàm lớn thứ nhất mọc lên, đây là răng vĩnh viễn đầu tiên mọc lên trong khoang miệng. Đến 7 tuổi, chân các răng cửa giữa sữa tiêu hết, các răng này rụng đi và răng vĩnh viễn thay thế chúng bắt đầu mọc lên và chạm khớp với răng cửa đối diện. Thứ tự mọc của các răng này thường là răng cửa giữa hàm dưới, sau đó đến răng cửa giữa hàm trên. Các răng cửa hàm dưới thường mọc lệch về phía lưỡi so với các răng sữa, điều này là thường thấy, cả khi cung răng có chiều dài không đủ và khi cung răng đủ chiều dài, giữa các răng cửa sữa có khe hở. Các răng này sẽ di chuyển ra trước dưới áp lực lưỡi sau khi nhổ bỏ các răng cửa sữa. Dấu hiệu răng cửa giữa hàm trên sắp mọc là những khối phồng lớn ở ngách tiền đình phía trên các răng sữa.
Các răng cửa hàm dưới thường mọc lệch về phía lưỡi so với các răng sữa
Khoảng 7-8 tuổi các răng cửa bên hàm dưới mọc lên, tiếp sau đó là răng cửa bên hàm trên vào khoảng 8-9 tuổi. Cũng như các răng cửa giữa hàm dưới, các răng cửa bên thường mọc về phía lưỡi và được đưa về đúng vị trí nhờ áp lực của lưỡi. Trong khi các răng cửa giữa hàm dưới mọc lên từ phía tiền đình, các răng cửa bên hàm trên lại thường thấy mọc lên từ phía hàm ếch, do đó hầu như không nhìn thấy chỗ niêm mạc phồng lên ở chỗ tiền đình trước khi răng cửa bên mọc. Nếu không có đủ chỗ để mọc, răng sẽ chậm mọc, bị mọc lệch vào trong hoặc xoay. Nếu chậm mọc, răng cửa bên sẽ mọc về phía hàm ếch và gây nên khớp cắn ngược.
Khoảng 9-10 tuổi, răng hàm lớn thứ ba (răng khôn) đã bắt đầu khoáng hóa và có thể nhìn thấy ở vị trí góc hàm trên phim X-quang. Cũng có trường hợp trẻ không có răng này. Khoảng thời gian này, răng hàm sữa thứ nhất và thứ hai đã tiêu gần hết chân, răng hàm nhỏ thứ nhất và thứ 2 chuẩn bị mọc.
Giai đoạn 10- 12 tuổi là giai đoạn hàm răng hỗn hợp chuyển sang hàm răng vĩnh viễn. Đây là giai đoạn phức tạp nhất vì trình tự mọc răng rất thay đổi.
Các răng có thể mọc theo trình tự 3-4-5, 4-5-3 hoặc 5-4-3, với 3, 4, 5 lần lượt là răng nanh, răng hàm nhỏ thứ nhất và răng hàm nhỏ thứ hai.
Răng hàm lớn thứ hai thường mọc sau răng hàm nhỏ thứ hai một thời gian ngắn. Tuy nhiên vẫn có trường hợp răng hàm lớn thứ hai mọc trước răng hàm nhỏ thứ hai.
Sau khoảng 12 tuổi, răng khôn (nếu có) đã hình thành xong thân răng. Không thể xác định chính xác thời gian mọc của răng khôn, nó rất thay đổi trên từng cá thể, vào khoảng 17-21 tuổi. Nhìn chung ở nữ giới răng khôn thường mọc sớm hơn ở nam giới. Răng khôn là răng mọc muộn nhất trên cung hàm và thường không có đủ chỗ để mọc, nên thường mọc lệch, thậm chí ngầm hoàn toàn trong xương không mọc lên được. Răng khôn mọc lệch gây nhiều biến chứng như viêm nhiễm, rối loạn chức năng nhai, gây ra hoặc làm trầm trọng bệnh lý khớp thái dương hàm. Một số trường hợp răng khôn mọc tạo áp lực đẩy ra trước làm xô lệch nhóm răng cửa, đặc biệt là răng cửa hàm dưới.
Hình ảnh răng khôn mọc lệch, lợi trùm, có thể gây nhiều biến chứng nguy hiểm
Tóm tắt thời điểm mọc răng vĩnh viễn và răng sữa
Trên đây là bảng tóm tắt thời điểm mọc thông thường của các răng trên cung hàm. Một yếu tố quan trọng ảnh hưởng đến sự mọc răng bình thường của các răng vĩnh viễn là khoảng sẵn có (bao gồm kích thước của các răng sữa và khe hở giữa chúng) so với khoảng cần có (kích thước của các răng vĩnh viễn). Tuy nhiên, đây không phải là yếu tố duy nhất. Mất sớm răng sữa, bất thường trương lực cơ, các bệnh lý tại chỗ và toàn thân, các thói quen răng miệng xấu có ảnh hưởng rất lớn tới quá trình mọc răng vĩnh viễn. Nếu thấy thời điểm mọc răng của trẻ sai khác với bảng trên, hãy đưa trẻ đến gặp nha sĩ để được tư vấn kịp thời. Nha khoa Neosmile với độ ngũ bác sĩ chuyên môn cao, tận tình và yêu trẻ, luôn sẵn sàng đồng hành cùng cha mẹ trong suốt quá trình chăm sóc răng miệng trẻ.





