Dịch vụ niềng răng mắc cài kim loại

Niềng răng mắc cài kim loại là phương pháp chỉnh nha truyền thống được phát triển qua hàng thế kỷ, được sử dụng phổ biến đến hiện nay bởi có nhiều ưu điểm: an toàn, hiệu quả ưu việt và có tính tiết kiệm cao, được chỉ định cho mọi trường hợp, kể cả những trường hợp khó, phức tạp. Cùng Neosmile tìm hiểu về phương pháp niềng răng chưa-bao-giờ-lỗi-thời này trong bài viết sau nhé!

Niềng răng mắc cài kim loại – lựa chọn phổ biến nhất trong chỉnh nha

Niềng răng mắc cài kim loại là gì?

Niềng răng mắc cài kim loại là phương pháp chỉnh nha sử dụng mắc cài có chất liệu là các kim loại bền như: thép không gỉ, vàng, bạc,..tùy theo nhu cầu khách hàng. Phương pháp này khắc phục tối đa các trường hợp răng hô, răng thưa, răng lệch lạc,…mang lại nụ cười khỏe đẹp, tự tin và sức khoẻ răng miệng bền vững.

Hiện nay có 3 loại niềng răng mắc cài kim loại phổ biến, cụ thể:

  • Niềng răng mắc cài kim loại thường: Mắc cài được gắn cố định vào mặt trước của răng. Dây cung được đặt nằm trên các rãnh mắc cài tác động lực lên răng nhờ vào cơ chế đàn hồi. Mắc cài, dây cung được cố định bằng các loại sợi cố định như chỉ thép, dây chun trong suốt hoặc có màu.

Niềng răng mắc cài kim loại thường với thun màu

  • Niềng răng mắc cài mặt trong (mặt lưỡi): Các mắc cài được đặt ở mặt trong (mặt lưỡi) của răng

Niềng răng mắc cài mặt lưỡi

  • Niềng răng mắc cài tự động: Dây chun được thay thế bằng hệ thống nắp trượt. Do đó phương pháp này khắc phục được tình trạng dây thun giãn, hạn chế tuột mắc cài.

Niềng răng mắc cài tự động với bộ phận giữ dây cung sẵn có

Những ưu điểm vượt trội của niềng răng mắc cài kim loại

  • Hiệu quả chỉnh nha cao

Niềng răng mắc cài kim loại là phương pháp chỉnh nha khắc phục tối đa các tình trạng răng bị hô, răng móm, răng lệch lạc từ nhẹ đến nặng. Trong quá trình niềng, lực siết của dây cung tác động giúp răng di chuyển về đúng vị trí mà không cần sử dụng  đến mài răng hay phẫu thuật. Chính vì vậy, phương pháp này bảo tồn được răng thật và không gây ảnh hưởng đến tuổi thọ của răng, nướu. Từ đó, bạn có thể sở hữu một hàm răng đều đẹp, tự tin với nụ cười hoàn hảo và khả năng nhai tốt trong quá trình ăn uống.

  • Chi phí tiết kiệm

Trong tất cả các phương pháp niềng răng thẩm mỹ thì niềng răng mắc cài kim loại là phương pháp có chi phí tiết kiệm nhất. Mắc cài thiết kế đơn giản, chất liệu cứng cáp mang lại độ bền cao, hiệu quả và tiết kiệm. Niềng răng mắc cài kim loại phù hợp với đối tượng học sinh, sinh viên và cả những người có mức thu nhập bình dân.

Trường hợp nào nên niềng răng mắc cài kim loại?

Niềng răng mắc cài kim loại là phương pháp chỉnh nha có thể áp dụng được với đa số các trường hợp chỉnh nha, kể cả những trường hợp phức tạp:

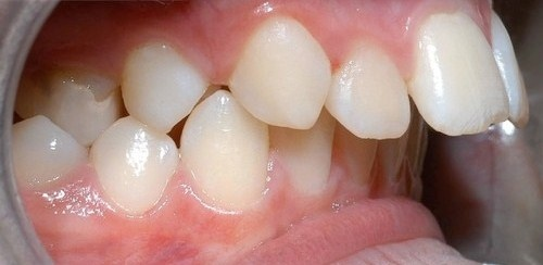
  • Răng hô: Răng hô (răng vẩu) là tình trạng sai khớp cắn và ảnh hưởng tiêu cực đến khả năng nhai, cắn. Răng hô khiến khuôn mặt thiếu thẩm mỹ thiếu tự tin cho bệnh nhân trong cuộc sống hàng ngày. Niềng răng mắc cài kim loại sẽ giúp các răng hô về đúng vị trí, đảm bảo khớp cắn đúng và tính thẩm mỹ.

Răng hô với các răng hàm trên đưa ra trước quá nhiều so với răng hàm dưới

  • Răng thưa: Răng thưa là tình trạng các răng cách xa nhau tạo nên những kẽ hở gây mất tính thẩm mỹ và khó khăn trong quá trình vệ sinh răng do thức ăn thừa sẽ dính vào kẽ răng. Vì vậy, người răng thưa sẽ có nguy cơ mắc các bệnh lý về răng miệng khác như sâu răng, viêm lợi…vv.
  • Răng móm: Răng móm là tình trạng khớp cắn ngược, có sự sai lệch giữa hàm trên so với hàm dưới. Với các trường hợp bình thường thì khi khép miệng cung hàm trên sẽ phủ ngoài cung hàm dưới, ngược lại, nếu răng móm thì cung hàm dưới sẽ phủ ngoài cung hàm trên. Niềng răng mắc cài kim loại là phương pháp thích hợp để khắc phục tình trạng này.
  • Răng lệch lạc: Răng mọc lệch lạc là trường hợp răng mọc chen chúc gây sai khớp cắn. Răng mọc nghiêng, xoay ra bên ngoài hay mọc ngầm lệch vào trong sẽ gây khó khăn khi ăn uống và gây mất thẩm mỹ, khó vệ sinh và tăng nguy cơ sâu răng, viêm lợi, hôi miệng,…

Quy trình niềng răng mắc cài kim loại :

  • Bước 1: Tư vấn niềng răng và lập kế hoạch điều trị

Đây là bước quan trọng, ảnh hưởng đến việc chỉnh nha của khách hàng sau này, việc tư vấn và đưa ra kế hoạch điều trị chi tiết thì bệnh nhân càng dễ hiểu và hợp tác trong quá trình chỉnh nha, nâng cao hiệu quả điều trị.

Chính vì thế các bạn có thể chủ động yêu cầu chụp phim, lấy dẫu mẫu hàm,… để có thể nhận được nhiều tư vấn chi tiết phòng khám.

Tư vấn niềng răng dựa trên tình trạng hiện tại

  • Bước 2: Điều trị tổng quan

Bao gồm việc vệ sinh răng miệng, phát hiện những ổ viêm hoặc điều bất thường trong hàm để có thể đưa ra lời khuyên khắc phục cho bệnh nhân. Những điều trị trước chỉnh nha này cần thực hiện cẩn thận, đảm bảo quá trình chỉnh nha thuận lợi và hạn chế những biến chứng phức tạp của những tổn thương sẵn có trước chỉnh nha.

Hình ảnh hàn răng sâu trước khi chỉnh nha

  • Bước 3: Thiết kế nụ cười

Khách hàng được tư vấn về sự thay đổi nụ cười, có thể quan sát mục tiêu điều trị giả lập gần tương đồng với kết quả sau chỉnh nha dựa trên những phần mềm hiện đại.

  • Bước 4: Giai đoạn gắn mắc cài vào răng

Sau khi qua các bước khám tổng quát ở phía trên, bác sĩ sẽ tiến hành gắn mắc cài lên răng. Sau khi mắc cài đã được đính trên răng chắc chắn bác sĩ sẽ gắn dây cung trên các rãnh mắc cài và cố định bằng dây thun chuyên dụng. Tại nha khoa Neosmile, chúng tôi sử dụng kĩ thuật gắn mắc cài gián tiếp với ưu điểm nhanh chóng và chính xác vượt trội so với phương pháp gắn mắc cài truyền thống.
Hình ảnh gắn mắc cài gián tiếp chính xác, nhanh chóng

  • Bước 5: Tái khám thường xuyên

Việc thăm khám thường xuyên sẽ giúp bác sĩ nắm bắt được tình hình, hoặc có thể bạn đến gặp bác sĩ khi dây cung bị bung hoặc mắc cài có sự cố.